症例詳細
Case detail
【舌小帯切除術 即日手術!】舌が短くて滑舌が悪いのを治したい!
治療症例の内容
- 診療科目
- 治療カテゴリ
- 担当医
- 河野豊嘉(ドクタープロフィール)
- 患者様
- 20代女性
- 治療期間
- 治療回数
- 2-5回
- 治療計画
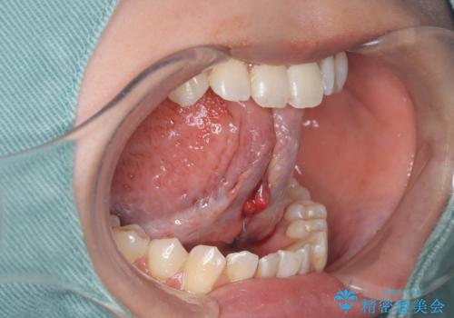
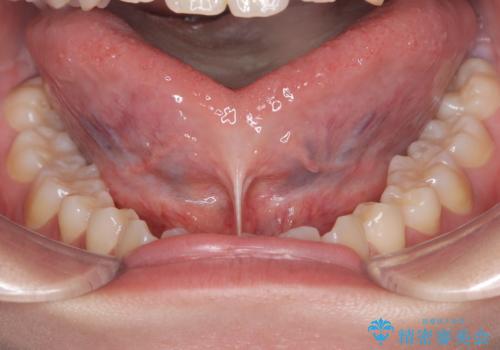
- 「舌が短くて滑舌が悪いので舌小帯を切って欲しい」を主訴に来院された患者様です。
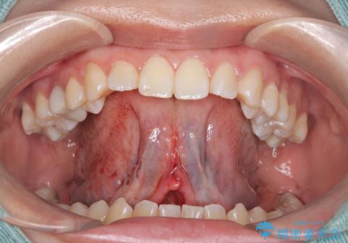
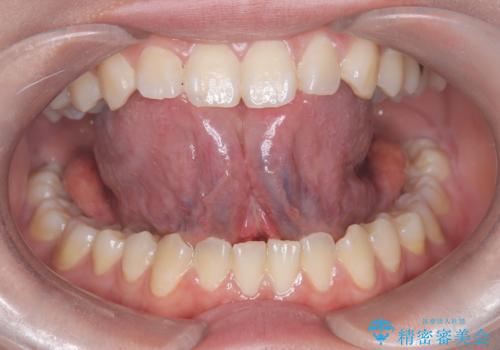
舌小帯切除術を行い舌の可動域を広げ、滑舌の向上を目指しました。
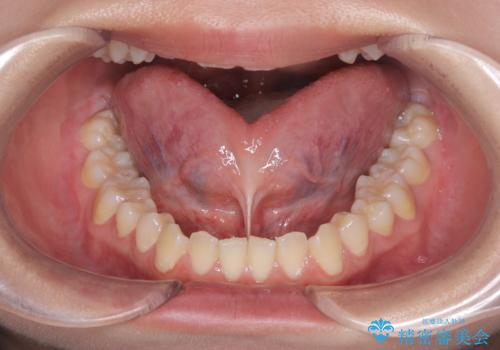
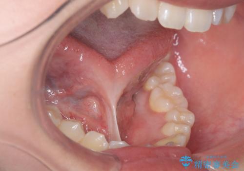
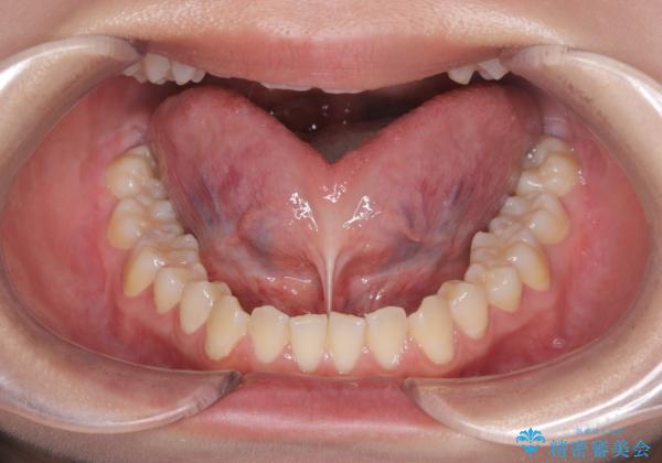
短い舌小帯に舌が引っ張られて舌がハート型になっています。
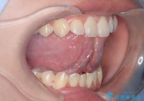
今まで動いていなかった舌は筋肉が衰えてますので、術後はMFT(舌を動かす訓練)を行うことが大事です。
- 費用(概算)
- 33,000円(税込)費用は治療当時の料金となります
治療について
舌小帯切除術は小手術で短い時間で終える事が可能なのでご予約の状況によってはカウンセリング当日に治療を行うことが出来ます。
治療後、舌の可動域がかなり広がり患者様に大変ご満足していただけました。
外科処置の注意事項(リスク・副作用など)
- 外科手術のため、術後に出血、痛みや腫れ、違和感を伴います
- 口腔内の状態によっては適応できないことがあります
当サイトの内容、テキスト、画像等の無断転載、複製、複写、盗用を固く禁じます。







