症例詳細
Case detail
ナイトガードによる歯の予防。
治療症例の内容
- 診療科目
- 治療カテゴリ
- 担当医
- 青山卓弘(ドクタープロフィール)
- 患者様
- 30代男性
- 治療期間
- 治療回数
- 2-5回
- 治療計画
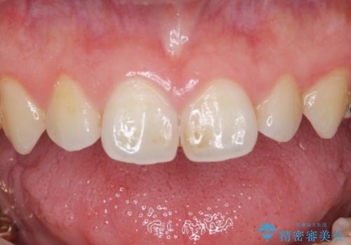
- 一通り歯の治療を終えた患者様です。
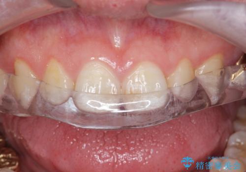
今後被せ物の破折予防や歯が欠ける事を防ぐためにナイトガードを作製しました。
- 費用(概算)
- 自費ナイトガード 3.3万円費用は治療当時の料金となります
治療について
就寝時にナイトガードを使用することにより歯ぎしりから歯を守ることができ
被せ物や歯の破折や欠けることを防ぎます。
その他の注意事項(リスク・副作用など)
- 担当歯科医師、歯科衛生士又は医院スタッフから受けた説明・注意事項をよくご確認ください
- 医療を提供するに当たり、適切な説明を行い、患者様の十分な理解を得るよう努めております
当サイトの内容、テキスト、画像等の無断転載、複製、複写、盗用を固く禁じます。






