症例詳細
Case detail
歯が割れてしまった インプラント治療で噛めるように!
治療症例の内容
- 診療科目
- 治療カテゴリ
- 担当医
- 患者様
- 40代女性
- 治療期間
- 8ヶ月
- 治療回数
- 5-10回
- 治療計画
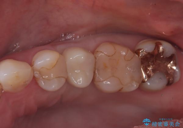
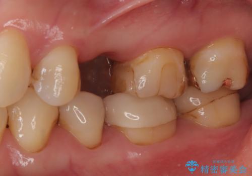
- 根管治療をしている歯が破折し、抜歯となってしまいました。
 抜歯した部位に対して、はじめに可撤性部分義歯,ブリッジ、インプラントによる治療方法とそれぞれの利点と欠点について説明を行った結果、インプラント治療を希望されました。さらに、インプラント治療の術前・術後口腔内管理の重要性、手術内容,費用などを説明し、十分なインフォームド・コンセントを得たうえで治療を開始しました。
- 費用(概算)
- 47万円費用は治療当時の料金となります
治療について
歯を失ってしまった場合の治療方法として、入れ歯やブリッジと並んでインプラント治療があります。それぞれに利点と欠点がありますが、私たちのクリニックでは、患者様に最適な治療法をご提案するために丁寧にご相談させていただきます。
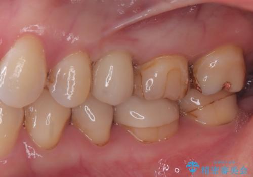
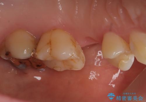
今回の症例では、骨の量が十分あったため、比較的短期間で治療を完了することができました。インプラントを使用することで、安定した咬み合わせが実現し、患者様は痛みもなく安心して食事を楽しむことができるようになりました。
インプラント治療は、しっかりとした診断と計画のもとに行われることで、自然な見た目と快適な噛み心地を取り戻すことができます。もし、歯を失ってお困りの方や、他の治療法で満足していない方がいらっしゃいましたら、ぜひ一度ご相談ください。
インプラント治療の注意事項(リスク・副作用など)
- 外科手術のため、術後に痛みや腫れ、違和感を伴います
- メンテナンスを怠ったり喫煙により、お口の中に大きな悪影響を及ぼすインプラント周囲炎等にかかる可能性があります
- 糖尿病、肝硬変、心臓病等の場合、インプラント治療ができない可能性があります
- 高血圧、貧血・不整脈等の場合、インプラント治療後に治癒不全を招く可能性があります
- 自費診療(保険適用外治療)となります
当サイトの内容、テキスト、画像等の無断転載、複製、複写、盗用を固く禁じます。








 
                       
                                                          









 
                   
                   
                  