症例詳細
Case detail
歯がないところにインプラントを入れたい
治療症例の内容
- 診療科目
- 治療カテゴリ
- 担当医
- 岡田康成(ドクタープロフィール)
- 患者様
- 20代男性
- 治療期間
- 10ヶ月
- 治療回数
- 5-10回
- 治療計画
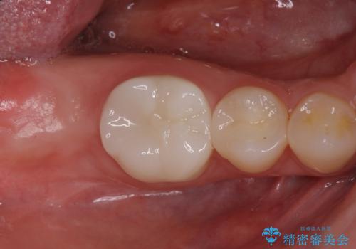
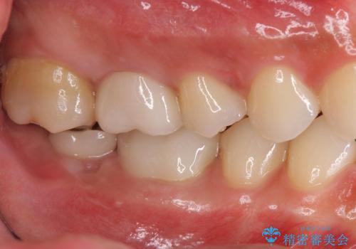
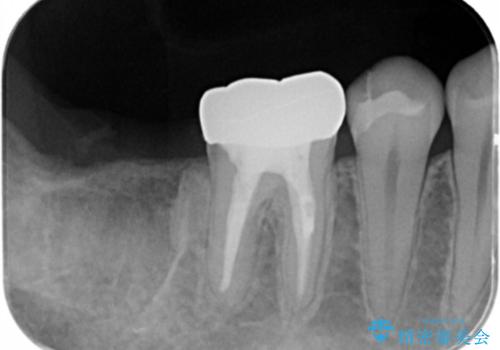
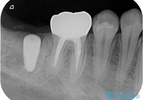
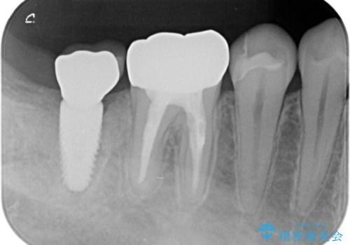
- 右下の奥歯がない状態でしばらく過ごされていた方です。
インプラント入れて噛めるようにしたいとのことだったため、治療を行います。
向かい合わせになる歯が歯茎と噛んでいるため、歯茎の厚みも調整していきます。
- 費用(概算)
- 右下7/インプラント242,000円+アバットメント110,000円+インプラント用仮歯22,000円+ジルコニアクラウン(スタンダード)121,000円 合計495,000円(税込)費用は治療当時の料金となります
治療について
歯を抜いたまま放置してしまうと、その後の治療が困難になることがあります。
今回はかぶせ物の高さを確保するために、少し顎骨を削り、歯肉の厚みも薄くしました。
インプラント治療の注意事項(リスク・副作用など)
- 外科手術のため、術後に痛みや腫れ、違和感を伴います
- メンテナンスを怠ったり喫煙により、お口の中に大きな悪影響を及ぼすインプラント周囲炎等にかかる可能性があります
- 糖尿病、肝硬変、心臓病等の場合、インプラント治療ができない可能性があります
- 高血圧、貧血・不整脈等の場合、インプラント治療後に治癒不全を招く可能性があります
- 自費診療(保険適用外治療)となります
当サイトの内容、テキスト、画像等の無断転載、複製、複写、盗用を固く禁じます。











