症例詳細
Case detail
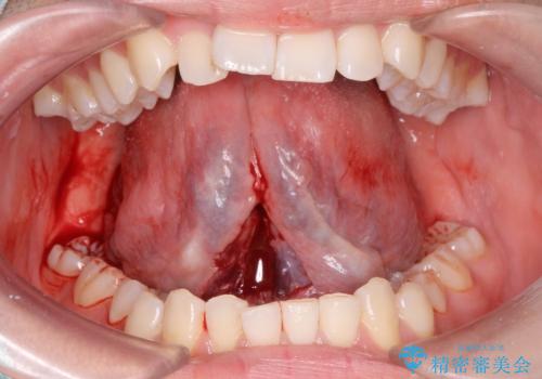
舌が動かしにくい。
治療症例の内容
- 診療科目
- 治療カテゴリ
- 担当医
- 青山卓弘(ドクタープロフィール)
- 患者様
- 20代男性
- 治療期間
- 治療回数
- 2-5回
- 治療計画
- 英語の練習をしていて舌が動かしにくいとの事で来院。
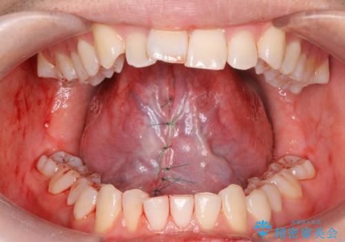
舌小帯切除術を行い舌の可動域を広げました。
- 費用(概算)
- 舌小帯切除術 3.3万円費用は治療当時の料金となります
治療について
手術は当日に行う事もできます。
舌の可動域は広がりますが舌の訓練を行わないと滑舌は良くなりません。
外科処置の注意事項(リスク・副作用など)
- 外科手術のため、術後に出血、痛みや腫れ、違和感を伴います
- 口腔内の状態によっては適応できないことがあります
その他の注意事項(リスク・副作用など)
- 担当歯科医師、歯科衛生士又は医院スタッフから受けた説明・注意事項をよくご確認ください
- 医療を提供するに当たり、適切な説明を行い、患者様の十分な理解を得るよう努めております
当サイトの内容、テキスト、画像等の無断転載、複製、複写、盗用を固く禁じます。







