症例詳細
Case detail
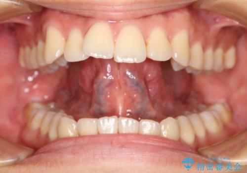
舌小帯切除 レーザー機器で縫合レス
治療症例の内容
- 診療科目
- 治療カテゴリ
- 担当医
- 今村大二郎(ドクタープロフィール)
- 患者様
- 20代男性
- 治療期間
- 1ヶ月
- 治療回数
- 2-5回
- 治療計画
- ご自身の滑舌の悪さを主訴に舌小帯切除術を希望され、来院されました。
手術とともにMFT(口腔筋機能療法)を行うことの重要性を説明させていただき、ご理解いただき並行して進めていくこととなりました。
- 費用(概算)
- 税込¥66,000 (舌小帯切除術+MFT3回セット)費用は治療当時の料金となります
舌小帯切除術
舌の下に繋がる靭帯を舌小帯といい、人によって長さや硬さなどの条件が異なります。舌小帯が短かったり硬くなってしまうと、舌の運動が制限されてしまい滑舌や摂食・嚥下に影響を及ぼすことがあります。
このような場合に適用される手術を「舌小帯切除術」といいます。
今回のケースではレーザー機器を用いて手術を行いました。これにより従来のメスを使用する術式と比べて所要時間の短縮が図れ、かつ縫合を必要としないため術後の不快感も軽減することができます。
MFT(筋機能訓練)
舌小帯切除術を行った際、そのままただ経過を診ているだけだと切除した靭帯がまた短い状態で治癒してしまうことが予測されます。また、今まで限られた範囲内のみで運動していた舌は通常の環境下の舌と比較して筋力か弱い傾向にあります。
このような場合せっかく手術を行っても効果が減弱してしまうので、手術効果を最大限に高めるために当院では「MFT(筋機能訓練)」を併用することをお勧めしています。
筋機能訓練とは舌が本来取るべき自然なポジショニングへの誘導や、使っていなかった筋肉を動かすことで舌の筋肉量の底上げを行うことを目的とした舌運動トレーニングです。
その他の注意事項(リスク・副作用など)
- 担当歯科医師、歯科衛生士又は医院スタッフから受けた説明・注意事項をよくご確認ください
- 医療を提供するに当たり、適切な説明を行い、患者様の十分な理解を得るよう努めております
当サイトの内容、テキスト、画像等の無断転載、複製、複写、盗用を固く禁じます。








