症例詳細
Case detail
虫歯で失ってしまった奥歯、インプラント治療で再び噛めるように!
治療症例の内容
- 診療科目
- 治療カテゴリ
- 担当医
- 患者様
- 50代女性
- 治療期間
- 8ヶ月
- 治療回数
- 2-5回
- 治療計画
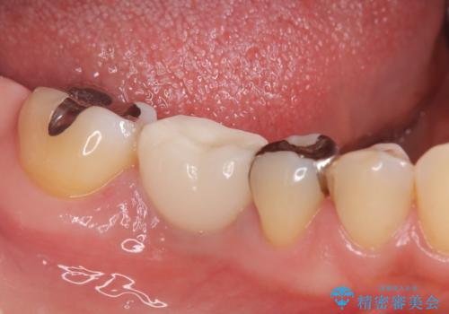
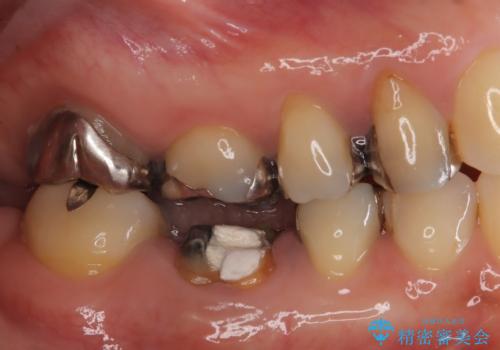
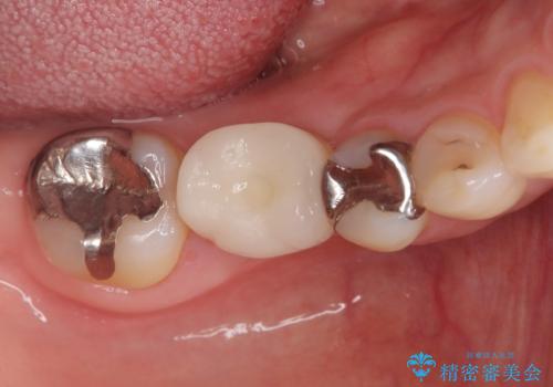
- 右下奥歯が虫歯で被せ物が取れてしまい、また噛めるようにしたいとのことで来院されました。
虫歯が大きく、歯を保存することが難しい状態でしたので、抜歯してインプラント治療を行うこととなりました。
- 費用(概算)
- 44万円費用は治療当時の料金となります
治療について
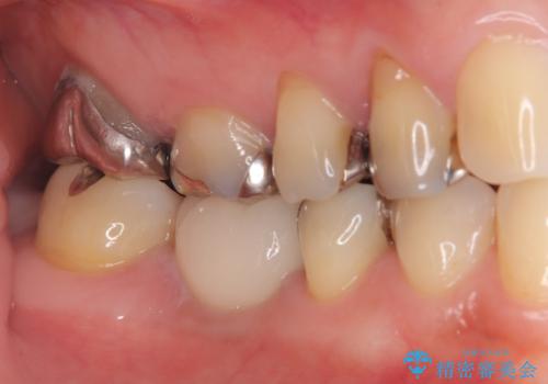
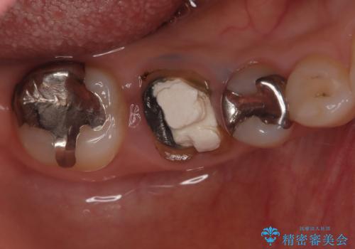
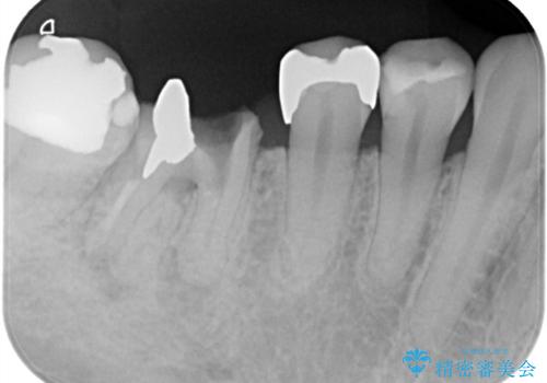
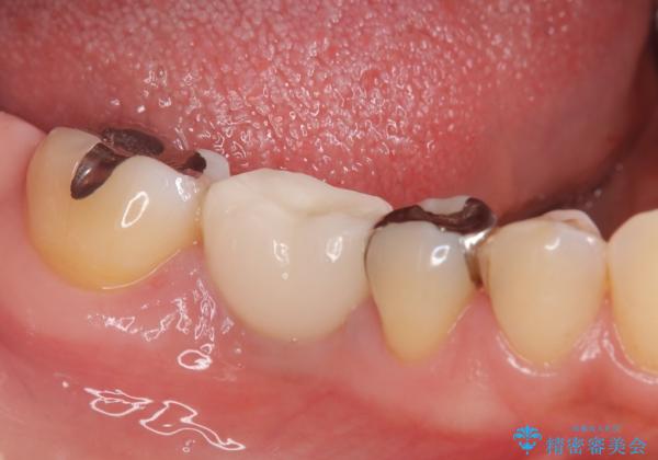
骨の量は十分あったため、比較的短期間で治療は終了しました。
安定した咬み合わせとなり、痛みもなく安心して噛めるようになりました。
歯を失ってしまった部分には、入れ歯・ブリッジと同じように、インプラント治療もあります。利点、欠点がそれぞれにありますので、ご相談ください。
インプラント治療の注意事項(リスク・副作用など)
- 外科手術のため、術後に痛みや腫れ、違和感を伴います
- メンテナンスを怠ったり喫煙により、お口の中に大きな悪影響を及ぼすインプラント周囲炎等にかかる可能性があります
- 糖尿病、肝硬変、心臓病等の場合、インプラント治療ができない可能性があります
- 高血圧、貧血・不整脈等の場合、インプラント治療後に治癒不全を招く可能性があります
- 自費診療(保険適用外治療)となります
当サイトの内容、テキスト、画像等の無断転載、複製、複写、盗用を固く禁じます。















