症例詳細
Case detail
舌小帯の処置 滑舌が気になる
治療症例の内容
- 診療科目
- 治療カテゴリ
- 担当医
- 患者様
- 20代男性
- 治療期間
- 1ヶ月
- 治療回数
- 2-5回
- 治療計画
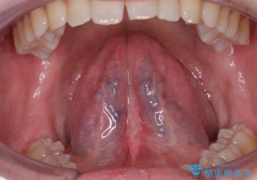
- 舌の動きが悪く、話しづらいとのことで改善を求めて来院されました。
舌の裏側にある小帯が短く、動かしにくい状態となっていました。小手術で形成することで滑舌の改善を計ります。
- 費用(概算)
- 3.3万円費用は治療当時の料金となります
治療について
小帯の形成術によって舌の可動域が広がりました。
舌小帯形成術は、舌の下にある小帯(舌小帯)を調整する手術です。通常、舌小帯が短い場合に行われます。この手術は、滑舌の改善や発音の向上に使用されます。
手術は一般的に局所麻酔下で行われ、舌小帯を切開し縫合します。手術後は、通常数日から数週間で回復します。痛みや腫れがある場合は、医師の指示に従って適切な処置を行います。
舌小帯に不安のある方は是非ご相談ください。
外科処置の注意事項(リスク・副作用など)
- 外科手術のため、術後に出血、痛みや腫れ、違和感を伴います
- 口腔内の状態によっては適応できないことがあります
当サイトの内容、テキスト、画像等の無断転載、複製、複写、盗用を固く禁じます。






