症例詳細
Case detail
失ったままの臼歯 インプラントによる治療
治療症例の内容
- 診療科目
- 治療カテゴリ
- 担当医
- 高悠莉(ドクタープロフィール)
- 患者様
- 30代男性
- 治療期間
- 6ヶ月
- 治療回数
- 2-5回
- 治療計画
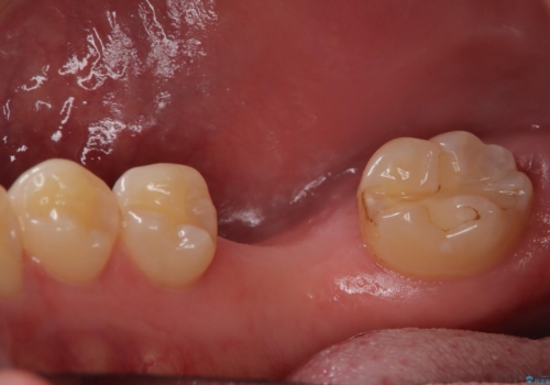
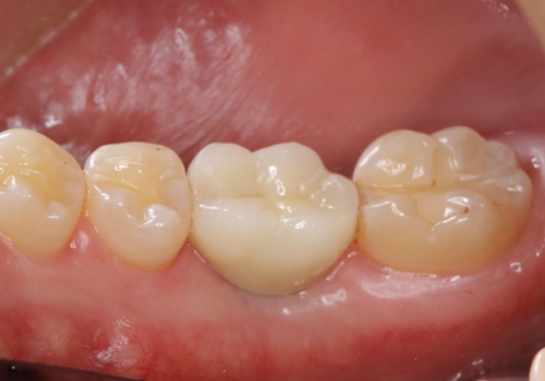
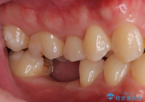
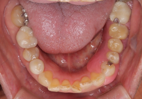
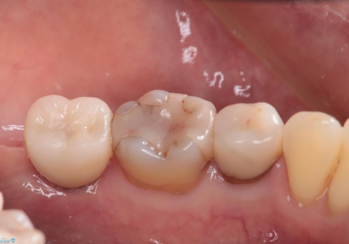
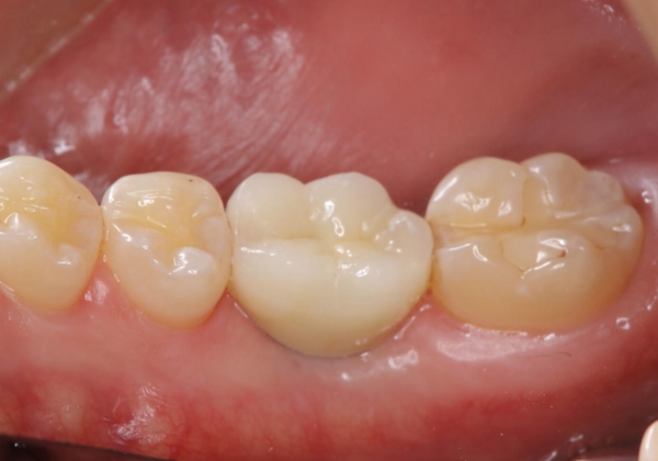
- 数年前に他院で抜去した右下の6番が欠損したままでした。今回は両隣の歯は健全であった為、残った歯を削る必要がなく使用感がもっとも自分自身の歯に近いとされるインプラントにて治療を行いました。
- 費用(概算)
- 440,000円(税込)費用は治療当時の料金となります
奥歯を失うとどうなるのか?
臼歯(奥歯のこと)は一般的に咬合力の大きな担い手となります。これが失われたままだと、残存した臼歯に更に大きな負荷がかかります。将来的に臼歯から失っていき前歯のみが残り、下顎の前歯が上顎の前歯を突き上げてしまうような症例が後を絶ちません。虫歯などの理由で失ったままの歯がある方は、是非ご相談ください。
インプラント治療の注意事項(リスク・副作用など)
- 外科手術のため、術後に痛みや腫れ、違和感を伴います
- メンテナンスを怠ったり喫煙により、お口の中に大きな悪影響を及ぼすインプラント周囲炎等にかかる可能性があります
- 糖尿病、肝硬変、心臓病等の場合、インプラント治療ができない可能性があります
- 高血圧、貧血・不整脈等の場合、インプラント治療後に治癒不全を招く可能性があります
- 自費診療(保険適用外治療)となります
当サイトの内容、テキスト、画像等の無断転載、複製、複写、盗用を固く禁じます。










