症例詳細
Case detail
【上唇小帯切除術】子どもの頃から上の前歯の歯茎が気になってた!
治療症例の内容
- 診療科目
- 治療カテゴリ
- 担当医
- 河野豊嘉(ドクタープロフィール)
- 患者様
- 20代女性
- 治療期間
- 1ヶ月
- 治療回数
- 2-5回
- 治療計画
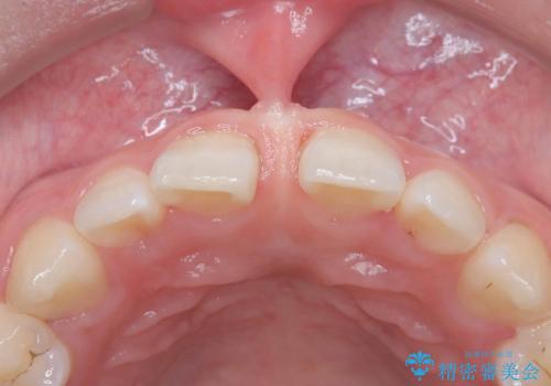
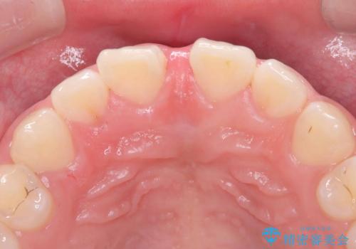
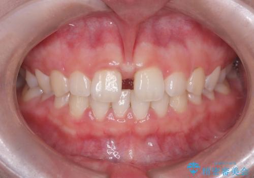
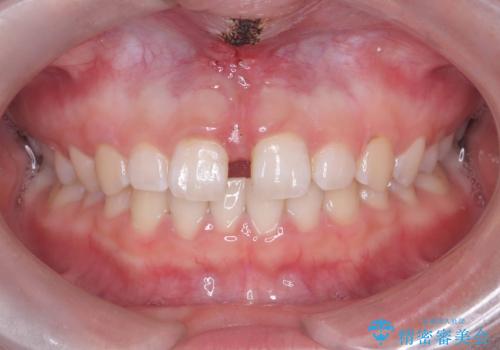
- 「子どもの頃から上の前歯に隙間があり、小帯が大きく、付いている位置も気になっていたので、上唇小帯を切除して欲しい」を主訴に来院された患者様です。
上唇小帯の高位付着が認められたため、上唇小帯切除術で治療を行いました。
- 費用(概算)
- 33,000円費用は治療当時の料金となります
治療について
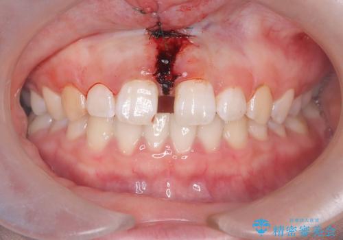
上唇小帯の高位付着が認められたため、上唇小帯切除術で治療を行いました。メスを使用し上唇小帯を切除した後、縫合を行い、一週間後に抜糸をして治療は終了になります。治療回数は2回です。縫合だけでなくCO2レーザーも使用し術後疼痛を和らげました。患者様は痛み止めは一錠も飲まず、痛みも無かったと言って頂き、治療に関しても、とても満足して頂けました。
外科処置の注意事項(リスク・副作用など)
- 外科手術のため、術後に出血、痛みや腫れ、違和感を伴います
- 口腔内の状態によっては適応できないことがあります
当サイトの内容、テキスト、画像等の無断転載、複製、複写、盗用を固く禁じます。










