症例詳細
Case detail
下あごの骨隆起が気になる。
治療症例の内容
- 担当医
- 青山卓弘(ドクタープロフィール)
- 患者様
- 20代女性
- 治療期間
- 1ヶ月
- 治療回数
- 2-5回
- 治療計画
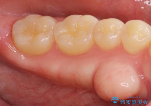
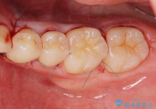
- 舌が下顎の骨隆起にあたって不快との事で来院。
静脈内鎮静麻酔を行い下顎骨隆起切除術を行いました。
- 費用(概算)
- 静脈内鎮静・下顎骨隆起切除(保険) 5.5万円費用は治療当時の料金となります
治療について
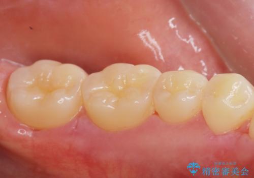
骨隆起がなくなり舌が当たるストレスがなくなり大変満足していただけました。
反対側の骨隆起も切除を行う予定です。
外科処置の注意事項(リスク・副作用など)
- 外科手術のため、術後に出血、痛みや腫れ、違和感を伴います
- 口腔内の状態によっては適応できないことがあります
その他の注意事項(リスク・副作用など)
- 担当歯科医師、歯科衛生士又は医院スタッフから受けた説明・注意事項をよくご確認ください
- 医療を提供するに当たり、適切な説明を行い、患者様の十分な理解を得るよう努めております
当サイトの内容、テキスト、画像等の無断転載、複製、複写、盗用を固く禁じます。












