症例詳細
Case detail
毎食後物がつまる! インプラント治療
治療症例の内容
- 診療科目
- 担当医
- 河野裕二(ドクタープロフィール)
- 患者様
- 30代女性
- 治療期間
- 1年
- 治療回数
- 5-10回
- 治療計画
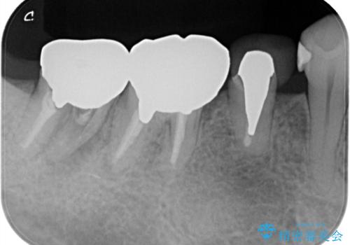
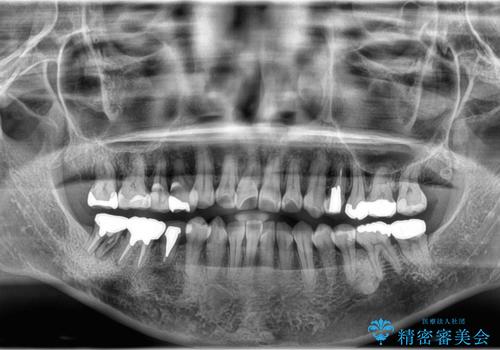
- 食事の度に、歯の中に物がつまるとのことで来院された患者様です。
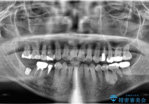
精密検査を行った結果、歯が折れていたため保存は難しく、インプラント治療になりました。
現在は、違和感なども無くなり、固いものも食べられると喜ばれていました。
- 費用(概算)
- 61万円費用は治療当時の料金となります
治療について
インプラント治療をすることによってしっかりと噛めるようになりました。
インプラント治療の注意事項(リスク・副作用など)
- 外科手術のため、術後に痛みや腫れ、違和感を伴います
- メンテナンスを怠ったり喫煙により、お口の中に大きな悪影響を及ぼすインプラント周囲炎等にかかる可能性があります
- 糖尿病、肝硬変、心臓病等の場合、インプラント治療ができない可能性があります
- 高血圧、貧血・不整脈等の場合、インプラント治療後に治癒不全を招く可能性があります
- 自費診療(保険適用外治療)となります
当サイトの内容、テキスト、画像等の無断転載、複製、複写、盗用を固く禁じます。







