症例詳細
Case detail
ナイトガードで歯ぎしりの影響を抑える
治療症例の内容
- 診療科目
- 治療カテゴリ
- 担当医
- 岡田康成(ドクタープロフィール)
- 患者様
- 20代女性
- 治療期間
- 1ヶ月
- 治療回数
- 2-5回
- 治療計画
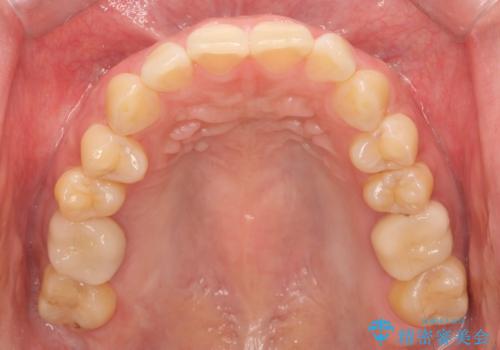
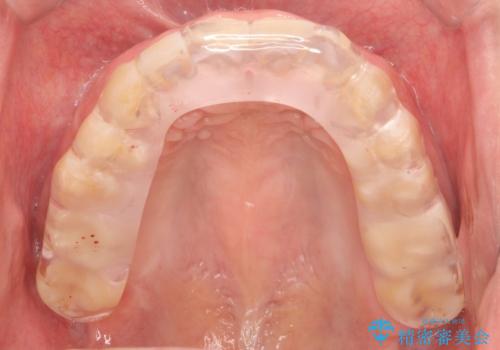
- 夜間の歯ぎしりを指摘されたことでナイトガード作成を希望して来院された患者様です。
厚いナイトガードでかみ合わせを微調整していきます。
- 費用(概算)
- ナイトガード 33,000円費用は治療当時の料金となります
治療について
全ての歯が均等に噛み合うよう調整することで噛む力を分散させ、一本の歯に噛む力が集中しないようにします。
その他の注意事項(リスク・副作用など)
- 担当歯科医師、歯科衛生士又は医院スタッフから受けた説明・注意事項をよくご確認ください
- 医療を提供するに当たり、適切な説明を行い、患者様の十分な理解を得るよう努めております
当サイトの内容、テキスト、画像等の無断転載、複製、複写、盗用を固く禁じます。





