症例詳細
Case detail
気になる骨隆起の除去 下顎骨隆起
治療症例の内容
- 担当医
- 岡田康成(ドクタープロフィール)
- 患者様
- 50代女性
- 治療期間
- 1ヶ月
- 治療回数
- 2-5回
- 治療計画
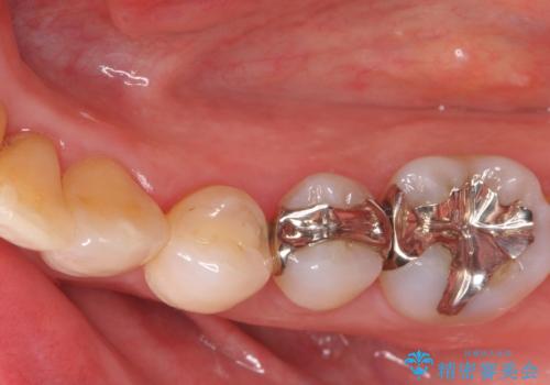
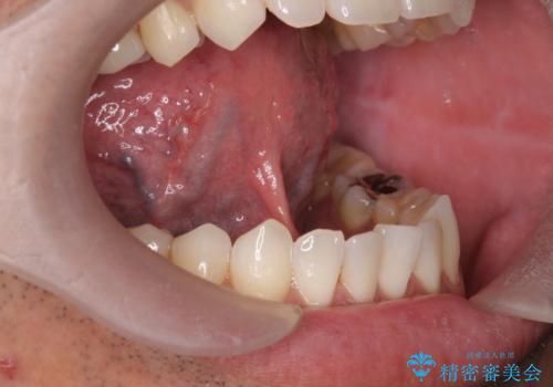
- 下の歯の裏側にある出っ張り(骨隆起)が気になるとのことでした。
局所麻酔下で除去していきます。
- 費用(概算)
- 保険治療費用は治療当時の料金となります
治療について
術後特に問題なく経過し、患者様には大変喜んでいただけました。
今回のような大きな骨隆起も一塊にして除去することができます。
その他の注意事項(リスク・副作用など)
- 担当歯科医師、歯科衛生士又は医院スタッフから受けた説明・注意事項をよくご確認ください
- 医療を提供するに当たり、適切な説明を行い、患者様の十分な理解を得るよう努めております
当サイトの内容、テキスト、画像等の無断転載、複製、複写、盗用を固く禁じます。








