症例詳細
Case detail
噛むと歯がズーンと鈍く痛む
治療症例の内容
- 担当医
- 町田睦月(ドクタープロフィール)
- 患者様
- 50代男性
- 治療期間
- 治療回数
- 2-5回
- 治療計画
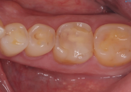
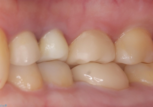
- 「噛むと歯が鈍く痛む」を主訴に来院されました。
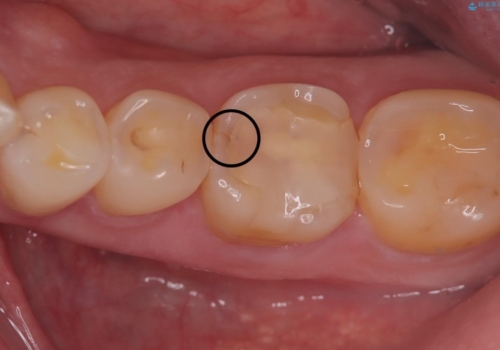
よく見ると歯冠部に咬合面から近心側にのびるヒビ(クラックライン)が入っているのが見えます。
咬合力によるヒビの部分に生じる歪みを軽減するため、クラウンを被せました。
- 費用(概算)
- 保険適用費用は治療当時の料金となります
治療について
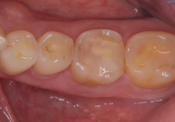
「噛むと歯が鈍く痛む」を主訴に来院されました。
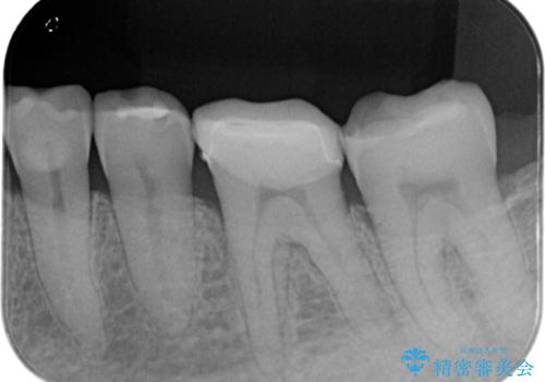
各種検査を行い、咬合面にヒビ(クラック)を認めました。
元々咬合面にレジンインレーが入っており、近心歯質が薄くなっていたことや、食いしばるクセを持っていることも、ヒビが入った要因の一つと考えられます。
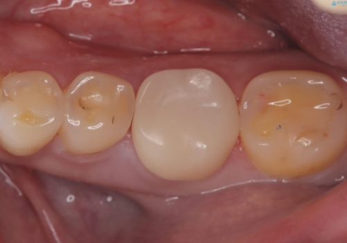
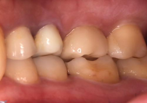
咬合力によるヒビの部分に生じる歪みを軽減するため、ヒビを追えるところまで切削しCR裏層・支台歯形成を行い、一度仮歯に置き換え症状の緩和を確認し、CAD/CAM冠を装着しました。
保険治療の注意事項(リスク・副作用など)
- 保険医が保険医療機関において健康保険法、医師法、医療法等の各種関係法令の規定を遵守し、『療養担当規則』の規定を遵守し、医学的に妥当適切な診療を行い、診療報酬点数表に定められたとおりに請求を行っています
- 使用する材料・素材や治療方法に制約があります
- 健康保険適用となります
当サイトの内容、テキスト、画像等の無断転載、複製、複写、盗用を固く禁じます。









