症例詳細
Case detail
ノンクラスプデンチャー
治療症例の内容
- 担当医
- 青山卓弘(ドクタープロフィール)
- 患者様
- 50代女性
- 治療期間
- 1ヶ月
- 治療回数
- 2-5回
- 治療計画
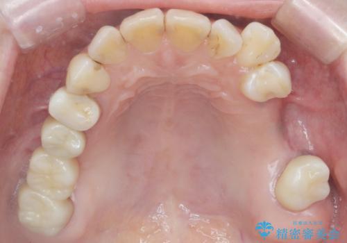
- 以前から治療されている患者様です。
左上の小臼歯、大臼歯が欠損しているため。インプラントのご案内をさせてもらったところ外科的な処置は行いたくないとの事でしたので
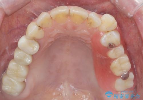
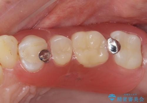
部分入れ歯のご案内をしました。なるべく銀は見えたくないとの希望により保険の入れ歯ではなく自費の入れ歯(ノンクラスプデンチャー)を作製しました。
- 費用(概算)
- ノンクラスプデンチャー 16.5万円費用は治療当時の料金となります
治療について
ノンクラスプデンチャーは保険の入れ歯に比べて異物感が少なく、またメタルの部分も少ないので目立ちません。
その他の注意事項(リスク・副作用など)
- 担当歯科医師、歯科衛生士又は医院スタッフから受けた説明・注意事項をよくご確認ください
- 医療を提供するに当たり、適切な説明を行い、患者様の十分な理解を得るよう努めております
入れ歯の注意事項(リスク・副作用など)
- ブリッジやインプラントと比較して、色が合いづらい、見た目の違和感があります
- ブリッジやインプラントと比較して、話しにくい、舌が当たる等の違和感があります
- 慣れるまで微調整で何度か通って頂くことがあります
- 就寝時や食後に毎回取り外して、清掃する必要があります
- 自費診療(保険適用外)となります
当サイトの内容、テキスト、画像等の無断転載、複製、複写、盗用を固く禁じます。






