症例詳細
Case detail
歯周病治療【オープンフラップ】
治療症例の内容
- 診療科目
- 治療カテゴリ
- 担当医
- 河野豊嘉(ドクタープロフィール)
- 患者様
- 30代女性
- 治療期間
- 1ヶ月
- 治療回数
- 2-5回
- 治療計画
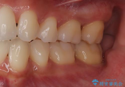
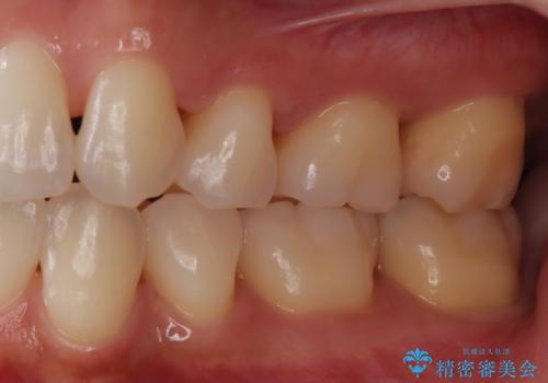
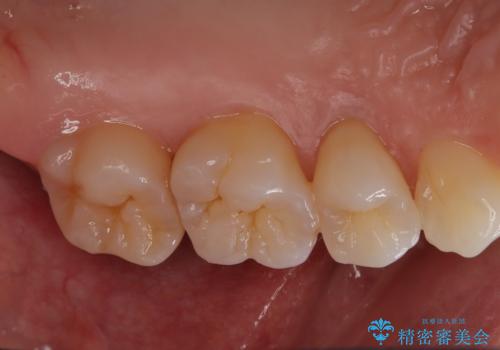
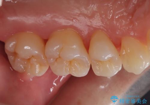
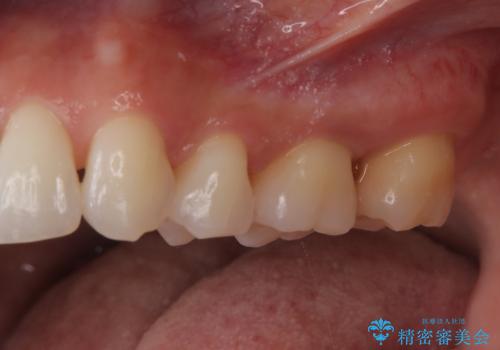
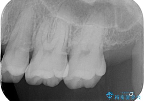
- 定期的にクリーニング(保険適応)に通って頂いている患者さんです。歯周ポケットが4ミリあったため歯茎を開いて歯石を除去するためにオープンフラップ術を行うことにしました。
- 費用(概算)
- 10万円費用は治療当時の料金となります
治療について
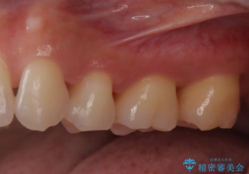
歯周ポケットがそれほど深くない患者さんでしたが、いざ歯茎を開いてみるとそこにはたくさんの歯石がありました。もし歯周ポケットが4ミリだからと言って放置していれば数年後には、沢山の骨が無くなっていたことが予期出来ます。現段階で歯茎の下にある歯石を除去することにより骨が無くなることを予防する事が出来ました。
歯周病治療の注意事項(リスク・副作用など)
- 外科手術のため、術後に痛みや腫れ、違和感を伴います
- 歯周組織再生治療は患者様の状態によって術後の経過が異なります(見た目が改善しない場合もあります)
- 歯周組織再生治療は自費診療(保険適用外)となります
当サイトの内容、テキスト、画像等の無断転載、複製、複写、盗用を固く禁じます。




















