症例詳細
Case detail
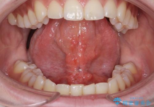
舌小帯切除
治療症例の内容
- 診療科目
- 治療カテゴリ
- 担当医
- 青山卓弘(ドクタープロフィール)
- 患者様
- 20代女性
- 治療期間
- 1ヶ月
- 治療回数
- 1回
- 治療計画
- ら行が言いにくいとの事で来院。舌の動きを舌小帯が邪魔していたので舌小帯の形成術を行いました。
- 費用(概算)
- 3.3万円費用は治療当時の料金となります
治療について
舌小帯の形成手術を行うことにより舌が口蓋に届くようになり
ら行が言いやすくなりました。
舌小帯の手術は当日行うことができます。
その他の注意事項(リスク・副作用など)
- 担当歯科医師、歯科衛生士又は医院スタッフから受けた説明・注意事項をよくご確認ください
- 医療を提供するに当たり、適切な説明を行い、患者様の十分な理解を得るよう努めております
外科処置の注意事項(リスク・副作用など)
- 外科手術のため、術後に出血、痛みや腫れ、違和感を伴います
- 口腔内の状態によっては適応できないことがあります
当サイトの内容、テキスト、画像等の無断転載、複製、複写、盗用を固く禁じます。








