症例詳細
Case detail
ナイトガードで歯の予防
治療症例の内容
- 診療科目
- 治療カテゴリ
- 担当医
- 青山卓弘(ドクタープロフィール)
- 患者様
- 40代女性
- 治療期間
- 1ヶ月
- 治療回数
- 2-5回
- 治療計画
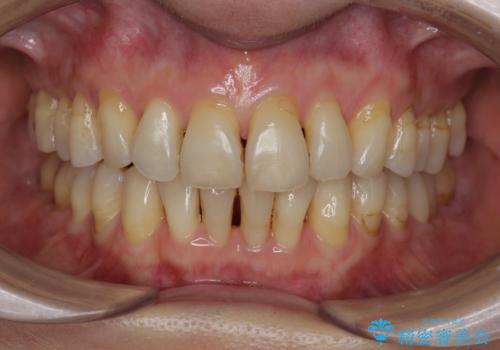
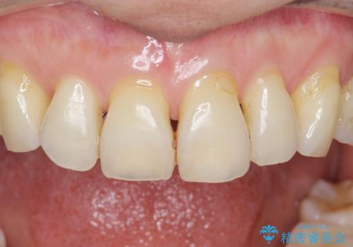
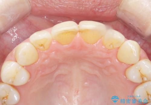
- 歯ぎしりが気になる 歯が将来ダメになるのが怖いとの事で相談を受けた患者様です。
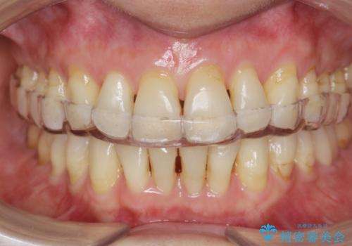
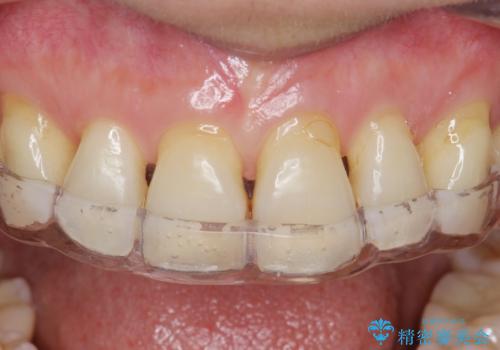
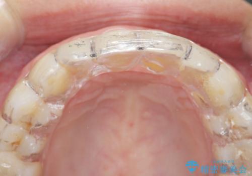
型取り(上下)をして自費のナイトガードを作製しました。
- 費用(概算)
- 自費ナイトガード 3.3万円費用は治療当時の料金となります
治療について
保険のナイトガードと比べると割れにくくて、噛み合わせの歯と調整を行うために歯が変に負担がかかる事なく歯ぎしりや歯の破折を予防することができます。
その他の注意事項(リスク・副作用など)
- 担当歯科医師、歯科衛生士又は医院スタッフから受けた説明・注意事項をよくご確認ください
- 医療を提供するに当たり、適切な説明を行い、患者様の十分な理解を得るよう努めております
当サイトの内容、テキスト、画像等の無断転載、複製、複写、盗用を固く禁じます。






