症例詳細
Case detail
ナイトガードで歯ぎしり予防
治療症例の内容
- 診療科目
- 治療カテゴリ
- 担当医
- 青山卓弘(ドクタープロフィール)
- 患者様
- 30代男性
- 治療期間
- 1ヶ月
- 治療回数
- 2-5回
- 治療計画
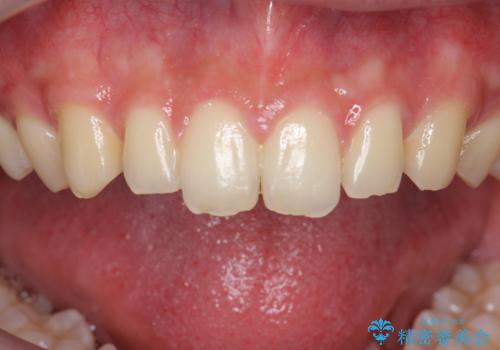
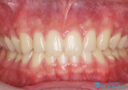
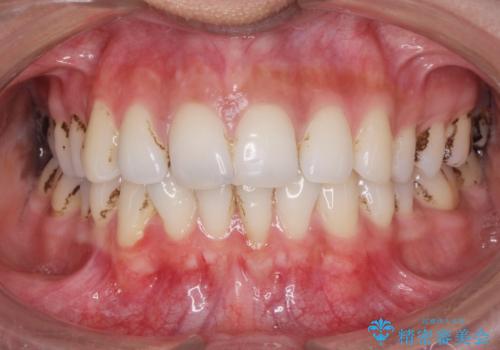
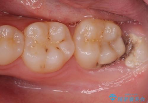
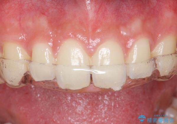
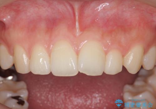
- 歯ぎしりが気になるとの事で来院。
しっかりしたナイトガードが欲しいとの事だったので自費のナイトガードのご案内をしました。
- 費用(概算)
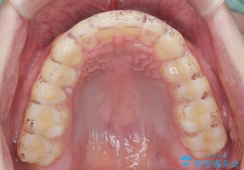
- 自費ナイトガード 3.3万円費用は治療当時の料金となります
治療について
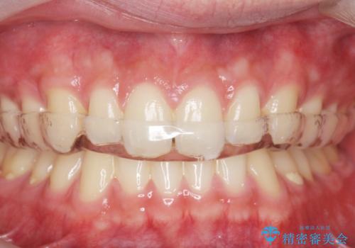
ナイトガードは夜寝ている時、無意識に歯ぎしりをして歯がすり減ることを防ぐことがあります。また、歯が割れたり欠けたりするのも防いでくれます。
その他の注意事項(リスク・副作用など)
- 担当歯科医師、歯科衛生士又は医院スタッフから受けた説明・注意事項をよくご確認ください
- 医療を提供するに当たり、適切な説明を行い、患者様の十分な理解を得るよう努めております
当サイトの内容、テキスト、画像等の無断転載、複製、複写、盗用を固く禁じます。








