症例詳細
Case detail
歯ぎしりが気になる。
治療症例の内容
- 診療科目
- 治療カテゴリ
- 担当医
- 青山卓弘(ドクタープロフィール)
- 患者様
- 40代男性
- 治療期間
- 1ヶ月
- 治療回数
- 2-5回
- 治療計画
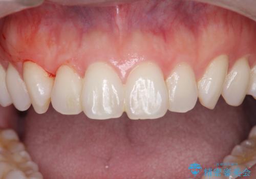
- 寝ている間に歯ぎしりをしている気がするとの事で来院。
過去にナイトガードを使用したことがあったが穴が空いてしまったそうです。
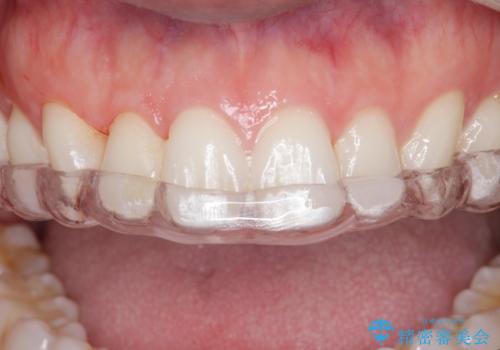
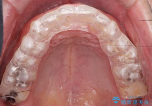
保険のナイトガードよりも穴が空きにくいナイトガードのご案内をしてフラットタイプナイトガード(自費でのご案内)
を作製することになりました。
- 費用(概算)
- フラットタイプナイトガード 3.3万円費用は治療当時の料金となります
治療について
ナイトガードを使用することによって歯がすり減る(寝ている時の歯ぎしりなど)事を防いでくれます。
保険のナイトガードよりも厚くて硬いので壊れたり割れたりする心配がありません。
またナイトガードを装着して全体的に噛む力が均等になるように調整を行います。
その他の注意事項(リスク・副作用など)
- 担当歯科医師、歯科衛生士又は医院スタッフから受けた説明・注意事項をよくご確認ください
- 医療を提供するに当たり、適切な説明を行い、患者様の十分な理解を得るよう努めております
当サイトの内容、テキスト、画像等の無断転載、複製、複写、盗用を固く禁じます。






