症例・治療例紹介
Cases
最新の症例
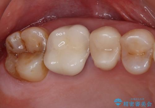
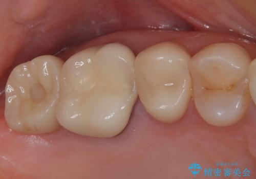
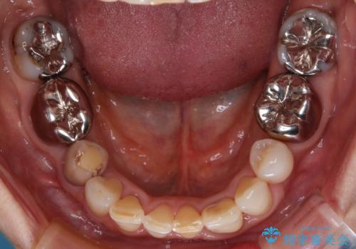
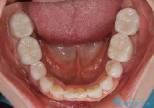
【審美修復】被せ物のみの治療
担当医 河口智英


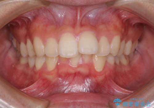
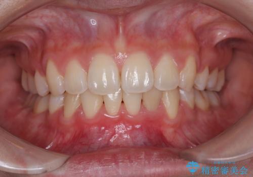
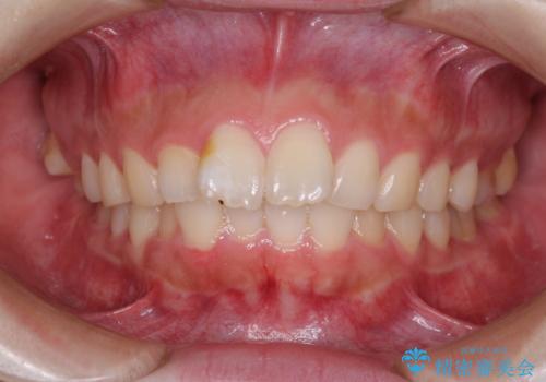
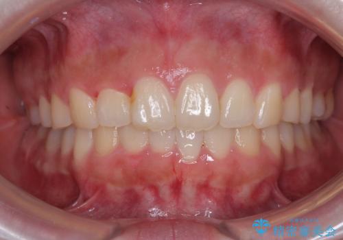
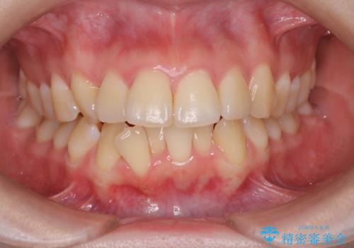
【審美装置】前歯のがたがたを治したい
担当医 河口智英


不自然な前歯の被せものをやり替えたい
担当医 齋藤佑磨


【根管治療】他院でインプラントの提案があった。奥歯が痛い。
担当医 河口智英


【審美装置】前歯をきれいにしたい


1DAYインプラント 破折して痛みの強い歯 抜歯即時埋入で抜歯した日に仮歯を装着


外科手術を検討? 過大な開咬をワイヤー装置とインビザラインで劇的に改善する


飛び出した上顎前歯 ワイヤー装置にて抜歯矯正治療


奥歯の目立つ銀歯をセラミックに オールセラミッククラウン治療


後戻りの再矯正 ワイヤー装置でデコボコと隙間を改善


前歯を綺麗にしたい 部分矯正とセラミック治療


前歯のすきっ歯を治したい インビザラインによる矯正治療


前歯のデコボコをインビザラインできれいに整える
担当医 藤巻太一朗






