症例・治療例紹介
Cases
最新の症例
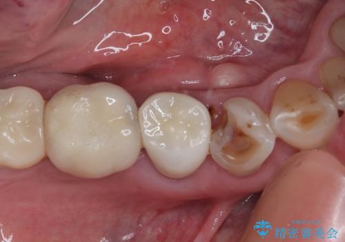
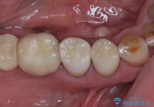
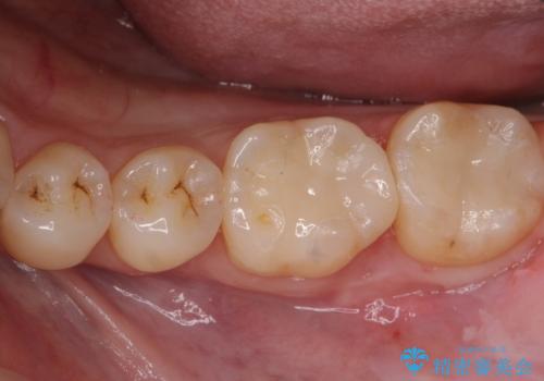
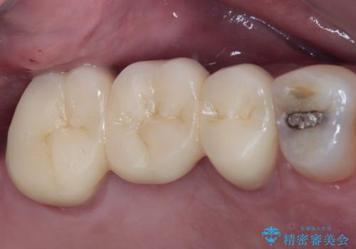
[ 失った歯の機能を回復 ] 奥歯のインプラント治療
![[ 失った歯の機能を回復 ] 奥歯のインプラント治療の症例 治療前](https://seimitsushinbi.jp/wp/wp-content/uploads/2024/05/3de66f5058931bd6bbff7e1daf0383b9-500x350.jpg?v=1716442786)
![[ 失った歯の機能を回復 ] 奥歯のインプラント治療の症例 治療後](https://seimitsushinbi.jp/wp/wp-content/uploads/2024/05/86d621ae76354cad43b5c7bb6bfe81aa-500x350.jpg?v=1716442745)
くちばしのような前歯 抜歯矯正で口を閉じやすく
担当医 藤巻太一朗


【モニター】後戻りでできた隙間 ワイヤー装置での再矯正


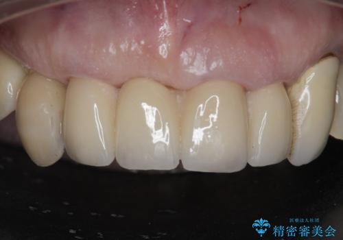
目立つ銀歯をセラミッククラウンに


咬合力で欠けてしまった歯 丈夫なセラミッククラウンでの補綴治療


孫から口臭を指摘され来院、全顎治療で噛み合わせ、見た目、口臭全て劇的改善!


引っ込んだ前歯を並べたい マウスピースと部分ワイヤーのコンビネーション矯正


マウスピース矯正で前歯のガタツキを改善! 短期間で治療完了


【セラミッククラウン】詰め物と歯の境目に汚れが溜まる
担当医 町田睦月


深い虫歯 セラミッククラウンの精度を高める歯周外科手術


前歯がグラグラする。










