症例・治療例紹介
Cases
最新の症例
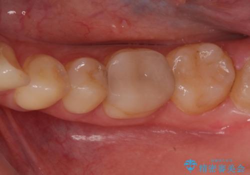
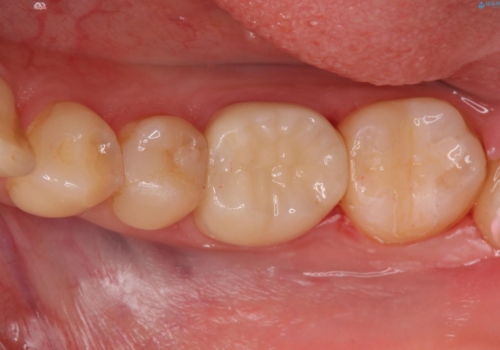
歯周外科処置を併用した奥歯のむし歯治療


変色と捻れた前歯 オールセラミッククラウン補綴治療


舌小帯を切りたい。
担当医 青山卓弘


突出した前歯を引っ込める ワイヤー装置での抜歯矯正
担当医 藤巻太一朗


矯正の後戻りと奥歯の欠損 ワイヤー矯正とインプラント治療


前歯のクロスバイトを改善 インビザライン・モデレートによる矯正治療
担当医 藤巻太一朗


【モニター】オープンバイトをインビザライン矯正で治す
担当医 藤巻太一朗


舌小帯切除 レーザー機器で縫合レス
担当医 今村大二郎


[ 審美歯科 オールセラミッククラウン ] 前歯をとにかく白くしたい
担当医 大元洋佑
![[ 審美歯科 オールセラミッククラウン ] 前歯をとにかく白くしたいの症例 治療前](https://seimitsushinbi.jp/wp/wp-content/uploads/2024/05/6813cb965e191b656bd4e39932b7bf1c-500x350.jpg?v=1716779758)
![[ 審美歯科 オールセラミッククラウン ] 前歯をとにかく白くしたいの症例 治療後](https://seimitsushinbi.jp/wp/wp-content/uploads/2024/05/fae2b4047e2dacc46bd0a9b9fcac47a1-500x350.jpg?v=1716779765)
[ 歯槽堤保存術 ] [ 奥歯の破折 ] ソケットプリザベーションを併用したインプラント治療
![[ 歯槽堤保存術 ] [ 奥歯の破折 ] ソケットプリザベーションを併用したインプラント治療の症例 治療前](https://seimitsushinbi.jp/wp/wp-content/uploads/2024/05/68d7a5f8cc6676653c68d96a6245b391-500x350.jpg?v=1716785788)
![[ 歯槽堤保存術 ] [ 奥歯の破折 ] ソケットプリザベーションを併用したインプラント治療の症例 治療後](https://seimitsushinbi.jp/wp/wp-content/uploads/2024/05/2a5634e2f61258f5ee54ecec268a8848-500x350.jpg?v=1716785834)
犬歯が歯ぐきにうまっている 真ん中のずれ、出っ歯を治したい


前歯のすき間が気になる 部分矯正で


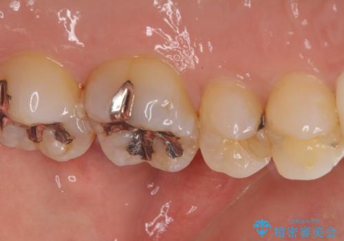
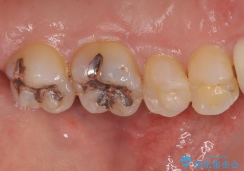
精度の低い詰め物のやり替え



![[ インビザラインライト ] マウスピース矯正とホワイトニングの症例 治療前](https://seimitsushinbi.jp/wp/wp-content/uploads/2024/05/b626e8cfcd245c7c21b981777abf20f1-500x350.jpg?v=1716791828)
![[ インビザラインライト ] マウスピース矯正とホワイトニングの症例 治療後](https://seimitsushinbi.jp/wp/wp-content/uploads/2024/05/b31b9de1b8f2df102bbca936449743b4-500x350.jpg?v=1716791690)

