症例・治療例紹介
Cases
最新の症例
反対咬合と前歯のガタガタを非抜歯で改善


【抜歯インビザ】凸凹を綺麗になおしたい
担当医 河口智英


凸凹を綺麗にしたい。表側ワイヤー矯正
担当医 河口智英


【根管治療】ズーンと痛い歯の治療。


ズキズキ痛い歯 オールセラミッククラウンによる修復
担当医 河口智英


前歯を綺麗にしたい
担当医 河口智英


【インビザライン】正中離開を治したい


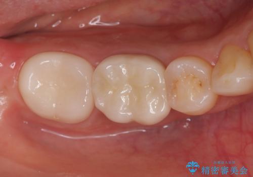
銀歯を白くしたい オールセラミッククラウン
担当医 有澤哲郎


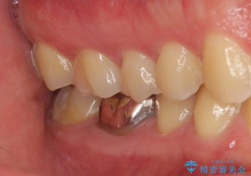
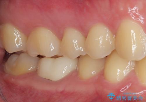
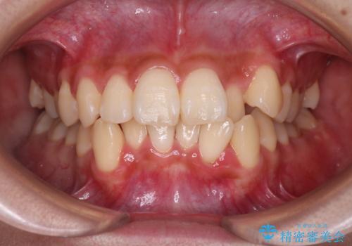
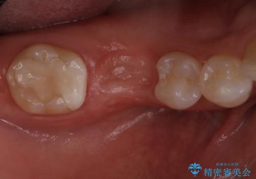
[ 審美歯科治療 ] 充填物でつぎはぎだらけの前歯をセラミックに
担当医 大元洋佑
![[ 審美歯科治療 ] 充填物でつぎはぎだらけの前歯をセラミックにの症例 治療前](https://seimitsushinbi.jp/wp/wp-content/uploads/2024/06/ce79a6cd79e4112968e50b52976322dd-500x350.jpg?v=1718616013)
![[ 審美歯科治療 ] 充填物でつぎはぎだらけの前歯をセラミックにの症例 治療後](https://seimitsushinbi.jp/wp/wp-content/uploads/2024/06/350ebcfc3d9a0059621d725432075e1a-500x350.jpg?v=1718616037)
欠損した歯と前に飛び出した前歯 インプラント治療を併用したワイヤー矯正治療


骨格性の受け口の矯正 部分ワイヤーで上の前歯を前に、 マウスピースで下の前歯を後ろに。


リアルな歯の色調にこだわるオールセラミッククラウン治療
担当医 大元洋佑








