症例・治療例紹介
Cases
最新の症例
気にしていた歯並びをインビザラインで改善 セラミックも作り替えて綺麗な口元に


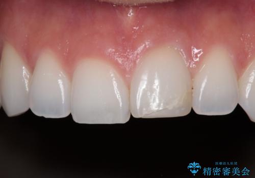
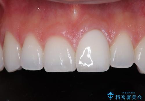
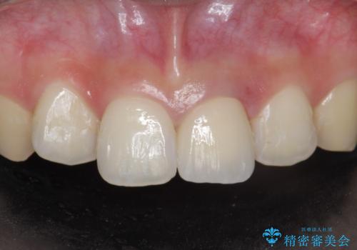
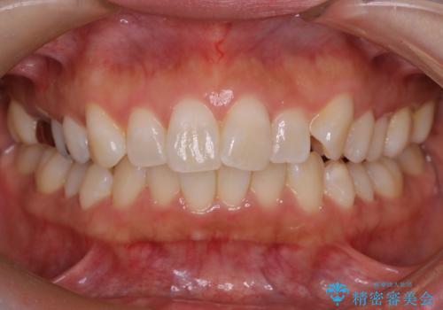
ぶつけて変色した前歯 オールセラミッククラウン治療


ねじれの強い前歯と奥歯 インビザラインでの矯正治療


【モニター】口が閉じにくい 抜歯矯正でスッキリした口元に


前歯をやりかえたい。
担当医 青山卓弘


ナイトガードによる歯の予防。


八重歯を改善!美しい口元を実現するハーフリンガル矯正


非抜歯で短期間!ワイヤー矯正で理想の歯並びを実現


歯が割れてしまった インプラント治療で噛めるように!


再矯正 前歯のガタツキをマウスピース矯正で治療したい


前歯の反対咬合、奥に引っ込んでしまっている歯をインビザラインで治療する










