症例・治療例紹介
Cases
最新の症例
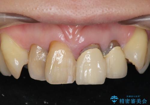
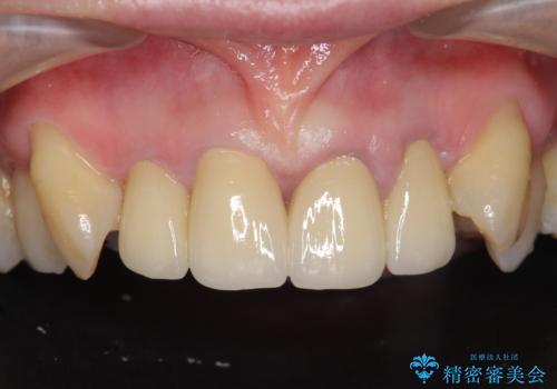
金属が見えて不自然な前歯をきれいにしたい
担当医 齋藤佑磨


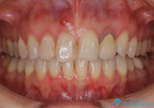
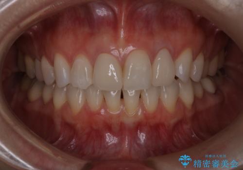
前歯のセラミックをやり替えたい
担当医 齋藤佑磨


前歯治したい『根管治療 セラミック治療』
担当医 菊地俊介


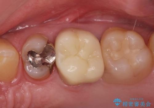
銀歯を白くしたい・・
担当医 青山卓弘


前歯の見た目をオールセラミッククラウンで改善
担当医 大元洋佑


八重歯を治す 非抜歯のワイヤー矯正治療


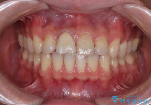
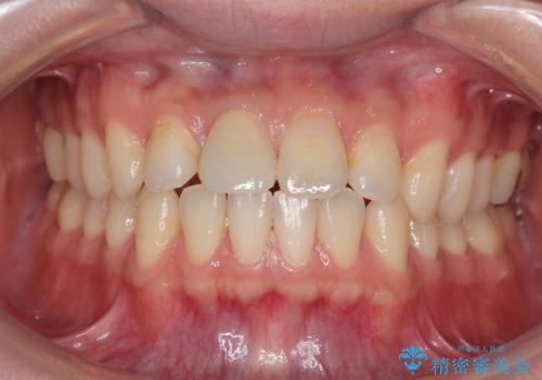
前方に飛び出した前歯 ワイヤー装置での抜歯矯正


デコボコを治したい インビザラインによる矯正治療
担当医 藤巻太一朗


舌の突出癖による開咬と前歯の突出 インビザライン矯正治療


【モニター】飛び出した上顎前歯を抜歯矯正で引っ込める ワイヤー装置の抜歯矯正治療


【モニター】八重歯と正中のずれた歯列 片顎抜歯のワイヤー矯正


閉じにくい口元をワイヤー抜歯矯正でスッキリした口元に


開咬と変色した前歯 インビザライン矯正とオールセラミッククラウン治療


顎が左右にずれた咬み合わせ ハーフリンガルの抜歯矯正


歯根が露出している歯の歯肉移植 根面被覆術
担当医 藤巻太一朗


