症例・治療例紹介
Cases
最新の症例
抜歯即時インプラント⇒即日仮歯


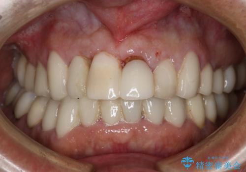
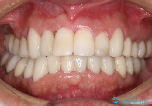
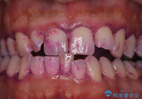
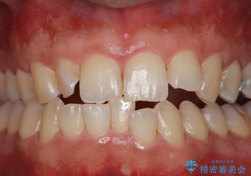
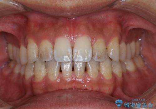
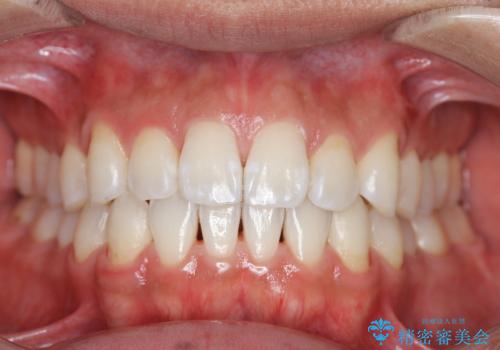
前歯をきれいにやり替えたい
担当医 齋藤佑磨


永久歯の先天欠如 インプラントによる補綴


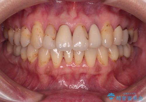
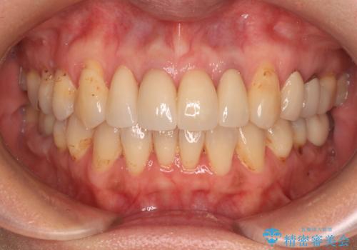
非対称の前歯を整えたい 矯正治療と審美治療の総合歯科診療


奥歯が痛い 破折した奥歯のインプラント治療


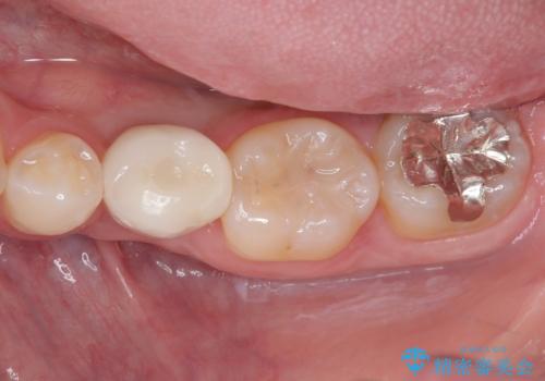
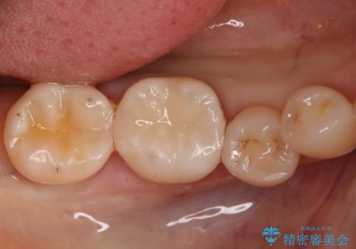
銀歯が何度も外れる オールセラミッククラウン
担当医 有澤哲郎


妻に歯医者へ行くよう言われて来院
担当医 歯科衛生士


EMS エアフロー (エアフロープロフィラキシス マスター エアフローワン)
担当医 歯科衛生士


オープンバイトをインビザラインで矯正治療


目立つ八重歯を改善 ワイヤー装置での抜歯矯正


飛び出した前歯と八重歯を改善 ワイヤー装置での抜歯矯正
担当医 藤巻太一朗


ディープバイトを短期間で改善 ワイヤー矯正治療








