症例・治療例紹介
Cases
最新の症例
食事中に歯が欠けたので治したい。オールセラミッククラウンによる補綴
担当医 齋藤佑磨


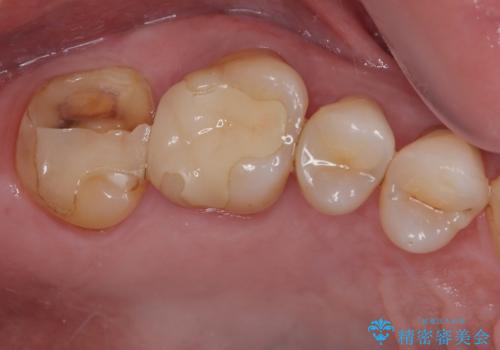
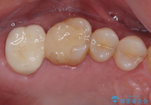
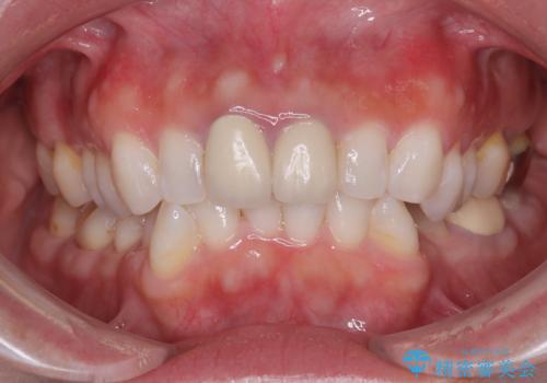
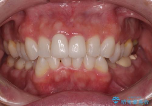
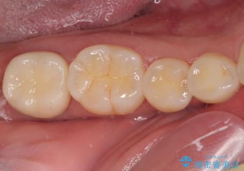
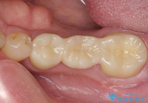
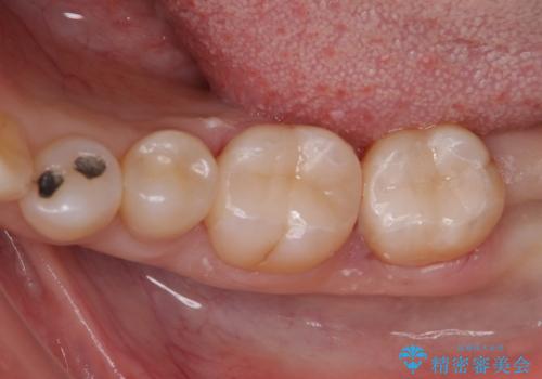
[ セラミック治療 ] 保険治療でいれた銀歯を白くしたい
担当医 大元洋佑
![[ セラミック治療 ] 保険治療でいれた銀歯を白くしたいの症例 治療前](https://seimitsushinbi.jp/wp/wp-content/uploads/2024/10/99749a3572753bae0beef4e0d811ecf0-500x350.jpg?v=1730097182)
![[ セラミック治療 ] 保険治療でいれた銀歯を白くしたいの症例 治療後](https://seimitsushinbi.jp/wp/wp-content/uploads/2024/10/02c8fd5cf0ad158663ee405579f202c1-500x350.jpg?v=1730097187)
白い被せ物を入れたい。
担当医 青山卓弘


前歯の黄色味が気になる オールセラミッククラウン(スペシャル)
担当医 有澤哲郎


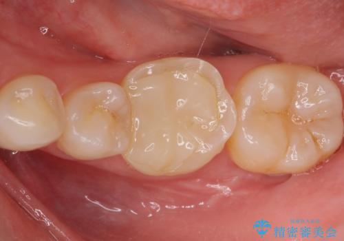
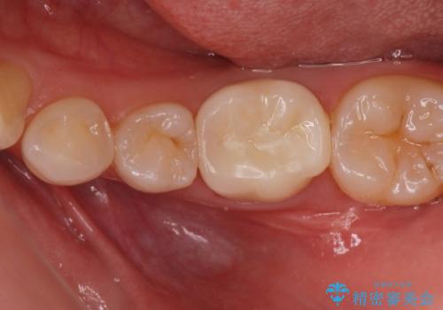
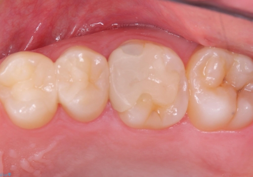
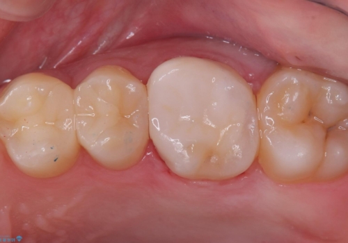
[ 破折し大きく吸収した歯槽骨 ] 他院では難しいと言われたインプラント治療
![[ 破折し大きく吸収した歯槽骨 ] 他院では難しいと言われたインプラント治療の症例 治療前](https://seimitsushinbi.jp/wp/wp-content/uploads/2024/10/073ce5e06775df372887a513b05b34d0-500x350.jpg?v=1729760111)
![[ 破折し大きく吸収した歯槽骨 ] 他院では難しいと言われたインプラント治療の症例 治療後](https://seimitsushinbi.jp/wp/wp-content/uploads/2024/10/7e00d9287463e80cbc3d4b87784b3d86-500x350.jpg?v=1729760167)
[ 金属アレルギー ] メタルフリー治療の希望
担当医 大元洋佑
![[ 金属アレルギー ] メタルフリー治療の希望の症例 治療前](https://seimitsushinbi.jp/wp/wp-content/uploads/2024/10/712df8e025d077f98e51968035d2ecd1-500x350.jpg?v=1729753767)
![[ 金属アレルギー ] メタルフリー治療の希望の症例 治療後](https://seimitsushinbi.jp/wp/wp-content/uploads/2024/10/6e3f0cf107f260de7aef09e7be64d754-500x350.jpg?v=1729753746)
矮小(わいしょう)歯の形をセラミックで自然に 50代女性


八重歯と突出感を改善 ワイヤー装置での矯正治療


親知らずに影響で大きなむし歯に セラミッククラウンによるむし歯治療


突出した口元 ワイヤー装置で横顔の印象を改善
担当医 藤巻太一朗


インビザラインが続けられない ワイヤー矯正に切り替えてデコボコを改善
担当医 藤巻太一朗










