症例・治療例紹介
Cases
最新の症例
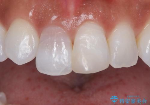
前歯の痛みと変色を解消:抜髄後のオールセラミック治療
担当医 河口智英


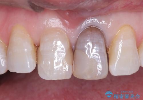
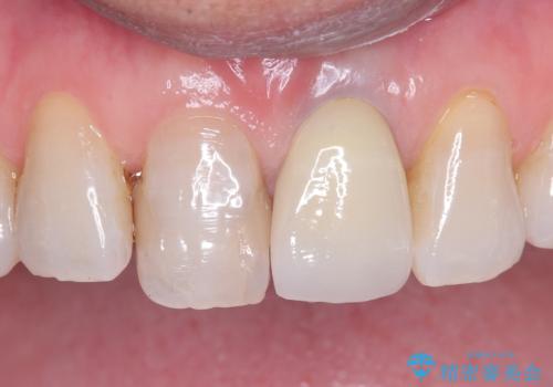
歯の変色を解消!根管治療とセラミック修復による審美的アプローチ
担当医 河口智英


前歯の乱れをスッキリ解消!抜歯矯正で整えた美しい歯並び
担当医 河口智英


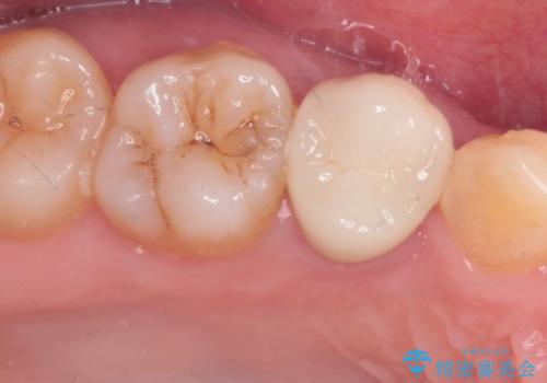
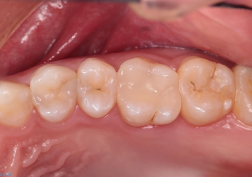
【オールセラミッククラウン】銀歯の下のむし歯
担当医 河口智英


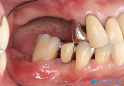
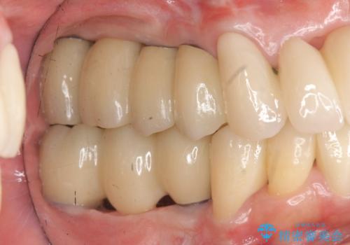
放置した歯列 矯正治療とインプラント治療で劇的に改善
担当医 藤巻太一朗


奥歯の神経のない歯をセラミックでしっかり治療


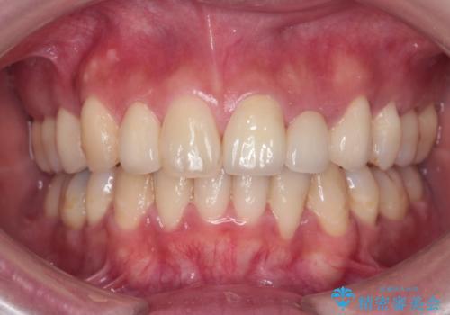
前歯の審美的なブリッジ (歯列矯正後)


重度のがたつき 矯正治療+セラミック治療で綺麗な歯並びに 矯正専門では難しい治療
担当医 井上季実子


強い咬合力で歯が割れる 奥歯を1DAYインプラントで短期間治療


急速拡大装置 狭い歯列を拡大して短期間での矯正治療


銀歯の入った歯が欠けた 奥歯のオールセラミッククラウン補綴治療










