症例・治療例紹介
Cases
最新の症例
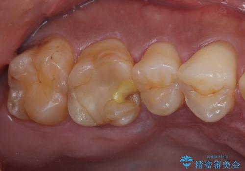
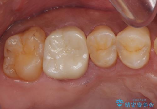
セラミックの詰め物が割れた フルジルコニアクラウン
担当医 有澤哲郎


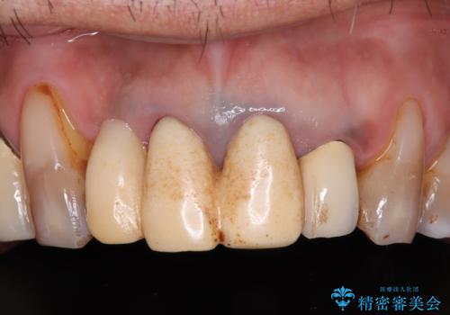
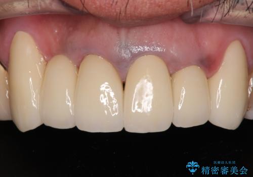
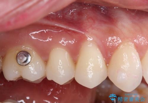
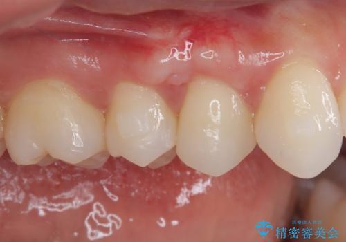
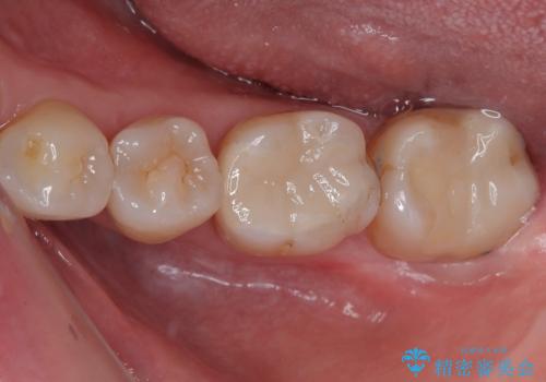
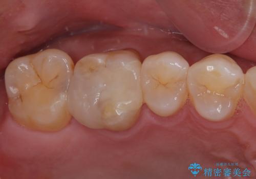
[ 審美歯科 ] ジルコニアクラウンで自然な歯に
担当医 大元洋佑
![[ 審美歯科 ] ジルコニアクラウンで自然な歯にの症例 治療前](https://seimitsushinbi.jp/wp/wp-content/uploads/2024/11/26c29c0623af09738a394680a84f8f1e-500x350.jpg?v=1731917370)
![[ 審美歯科 ] ジルコニアクラウンで自然な歯にの症例 治療後](https://seimitsushinbi.jp/wp/wp-content/uploads/2024/11/039bc8bb7645fe85edc02d05ef482889-500x350.jpg?v=1731917160)
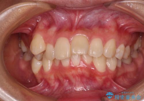
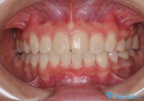
[ 正中過剰埋伏歯 ] 正中離開・過蓋咬合のマウスピース矯正
担当医 大元洋佑
![[ 正中過剰埋伏歯 ] 正中離開・過蓋咬合のマウスピース矯正の症例 治療前](https://seimitsushinbi.jp/wp/wp-content/uploads/2024/11/C1-1-500x350.jpg?v=1731900434)
![[ 正中過剰埋伏歯 ] 正中離開・過蓋咬合のマウスピース矯正の症例 治療後](https://seimitsushinbi.jp/wp/wp-content/uploads/2024/11/IMG_9978-500x350.jpg?v=1731900241)
セラミック インプラント 全顎治療
担当医 大元洋佑


前歯を綺麗にしたい。


銀歯をやり替えたい フルジルコニアクラウン・ゴールドインレー修復


仮歯が汚くて転院 前歯のオールセラミッククラウン治療


前歯のデコボコを抜歯矯正でスッキリした口元に
担当医 藤巻太一朗


気になる上顎前突 補助装置を用いた抜歯矯正で口元をすっきりと


オールセラミッククラウンによる奥歯のむし歯治療


強烈な知覚過敏 歯肉移植術で根面被覆
担当医 藤巻太一朗


唇を閉じてもはみ出してしまう上顎前歯 抜歯矯正で口元を改善








