症例詳細
Case detail
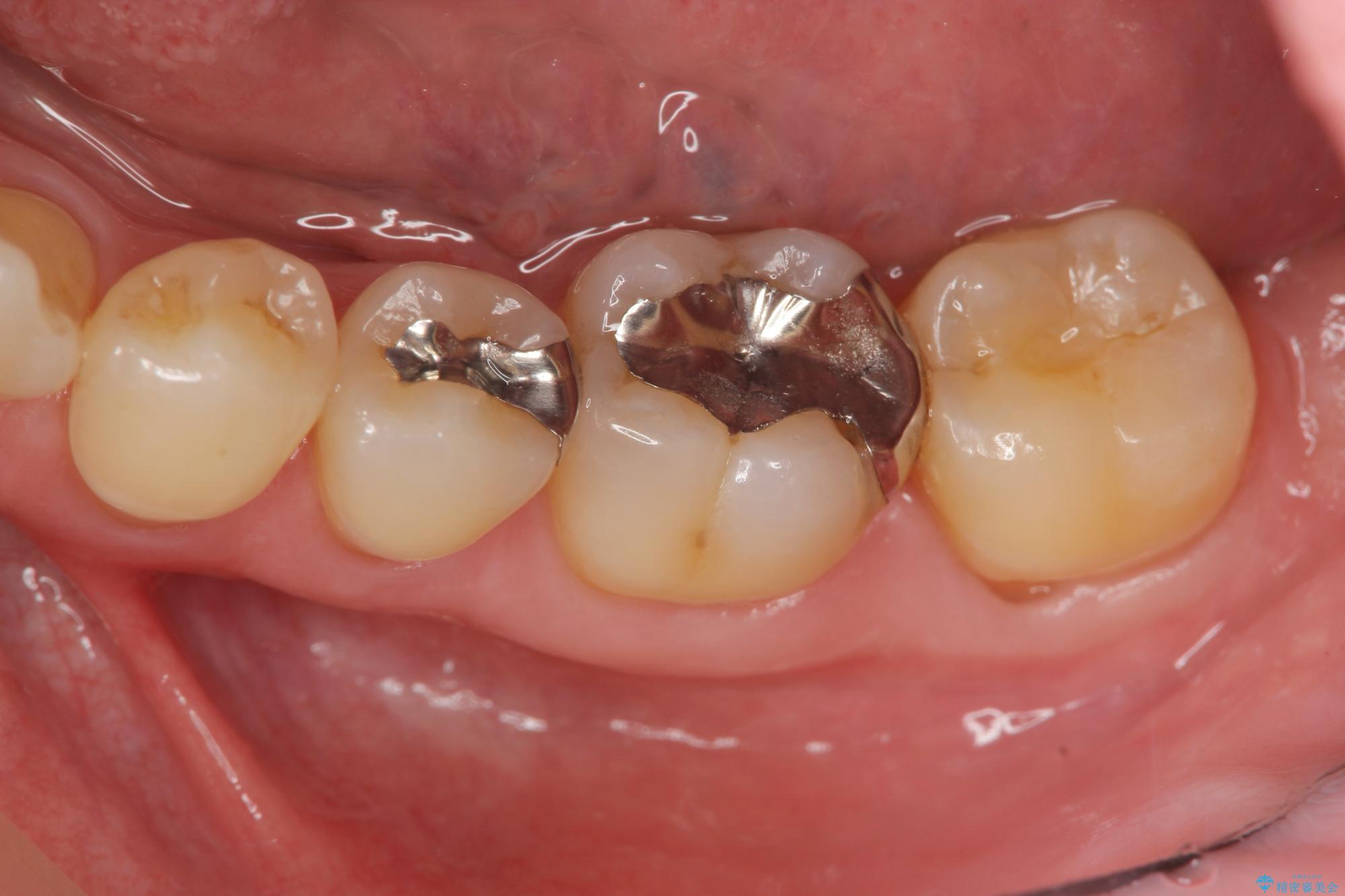
銀歯を外してのセラミック治療
治療症例の内容
- 診療科目
- 治療カテゴリ
- 担当医
- 大元洋佑(ドクタープロフィール)
- 患者様
- 50代男性
- 治療期間
- 1ヶ月
- 治療回数
- 2-5回
- 治療計画
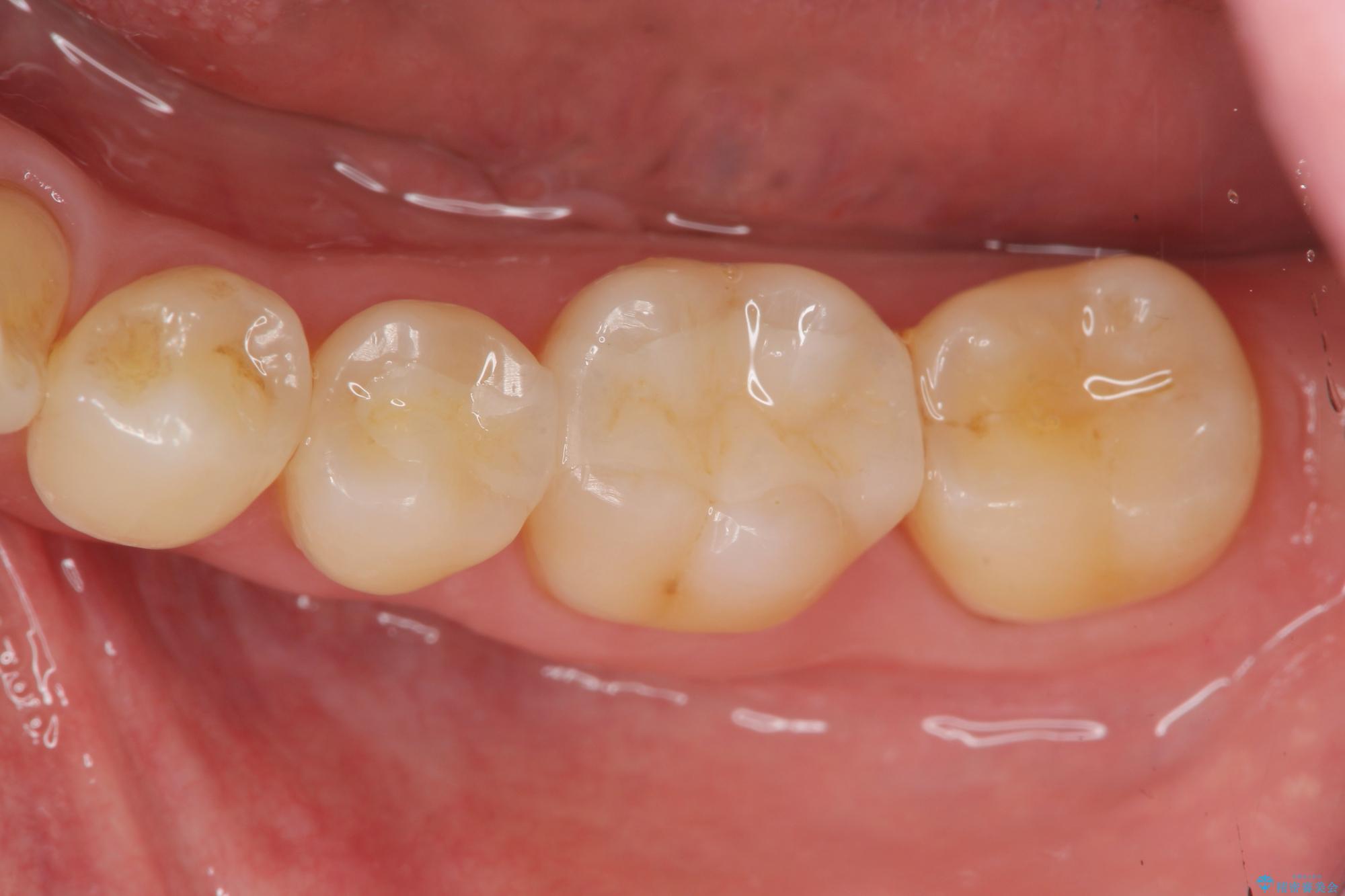
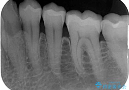
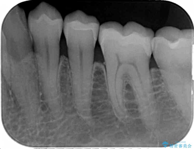
- 長年見た目が気になっていた銀歯のやりかえを希望されて来院されました。
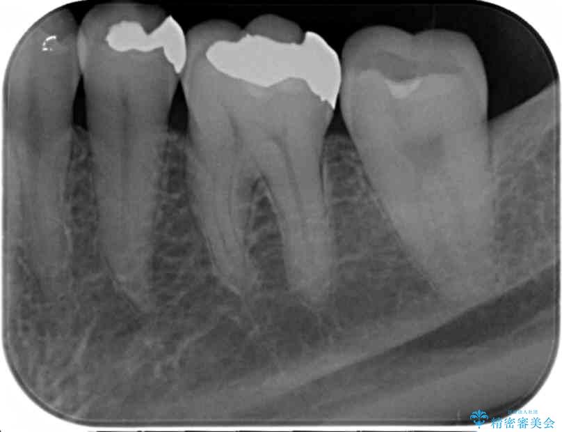
銀歯を丁寧に除去し、セラミクインレーによる置き換えを行いました。
セラミックインレーの治療に際しては、拡大鏡を用いた丁寧な除去・形成、シリコン印象材による精密な型取りを行い、虫歯の再発を防ぐような精密修復を実践していきます。
- 費用(概算)
- 15.4万円(セラミックインレー×2)費用は治療当時の料金となります
治療について
自然なセラミクの仕上がりに満足いただくことができました。
セラミック治療の注意事項(リスク・副作用など)
- 天然歯を削ります
- 硬い素材は天然歯を傷つけてしまう場合があります
- かみ合わせや歯ぎしりが強すぎる方はセラミックが割れてしまう可能性があります
- 自費診療(保険適用外治療)となります
当サイトの内容、テキスト、画像等の無断転載、複製、複写、盗用を固く禁じます。




