症例詳細
Case detail
変色した歯をきれいにしたい セラミック治療
治療症例の内容
- 診療科目
- 担当医
- 本間玲奈(ドクタープロフィール)
- 患者様
- 20代 女性
- 治療期間
- 3ヶ月
- 治療回数
- 2-5回
- 治療計画
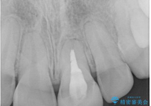
- 「左上の前歯の色が変色し、セラミッククラウンで治したい」とのことで、来院された患者様です。過去に神経の治療(根管治療)をされており、それにより歯の色が変色していました。
左上の前歯(左上1)は、歯の形を整えてオールセラミッククラウンという被せ物で、変色の改善を行いました。
その他の歯の色も白くしたいとのことだったので、ホワイトニングも一緒行っています。
- 費用(概算)
- 154,000円(オールセラミッククラウン スペシャル×1本)費用は治療当時の料金となります
治療について
変色していた左上の前歯は、過去に神経の治療(根管治療)をされており、それにより歯の色が変色していました。
根管治療を行った歯は、破折するリスクがあるため、被せ物をすることで、破折リスクの軽減にもなるため、被せ物で歯の色の改善を行いました。
セラミック治療の注意事項(リスク・副作用など)
- 天然歯を削ります
- 硬い素材は天然歯を傷つけてしまう場合があります
- かみ合わせや歯ぎしりが強すぎる方はセラミックが割れてしまう可能性があります
- 自費診療(保険適用外治療)となります
ホワイトニングの注意事項(リスク・副作用など)
- 知覚過敏が出ることがあります
- ホワイトバンドや白い斑点が出ることがあります
- クラウンやインレー等の補綴物には効果がありません
- ホワイトニングによる効果や持続期間には個人差があります
- 歯牙の状態によっては適応できないことがあります
- 保険適用外となります
当サイトの内容、テキスト、画像等の無断転載、複製、複写、盗用を固く禁じます。




